より患者様にやさしい検査へ
明生病院では東芝64列マルチスライスCT(Aquilion64)を導入しています。

64列マルチスライスCTとは
マルチスライスCTとは、X線の検出器を複数用いることで、短時間で多くの断面を撮影できるCT装置です。
従来型の4列CTでは、最速0.75秒で4断面の撮影を行いますが、64列CTでは最速0.35秒で64断面の撮影が可能になり、解像度の高い画像を広範囲、かつ短時間で撮影ができるようになりました。高速撮影により、患者様に優しい設計となっています。
64列マルチスライスCTの特長
- ①撮影時間が短い(息を止める時間が短くてすむ)
- ②細かい間隔での撮影が行える(微細なところまでわかる)
- ③立体的な画像化が容易(わかりやすい画像が用意できる)
- ④一度に広い範囲の撮影が可能(1回の息止めで全体の撮影が可能)

-

-

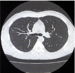
胸部撮影 -

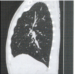
コロナル断面 -

サジタル断面 -

頭部脳血管VR -

頭部脳血管MIP -

頸部血管VR -

頸部血管MIP -

心臓冠動脈VR -

心臓冠動脈MIP -

胆嚢VR1 -

胆嚢VR2 -

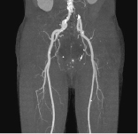
大動脈VR -

下肢動脈VR -

下肢動脈MIP -

下肢動脈拡大VR
心臓CT検査について
64列マルチスライスCTにより高速スキャンが可能になったことで心臓など動きの早い臓器の検査もできるようになりました。
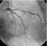
今までは入院して血管からカテーテルという管を挿入して検査をしなければならなかった情報を外来で一回の造影CT検査で得ることができます。(入院の必要はありません)
-

CTで撮影した心臓の血管の立体像です。 -

左と同じ患者様です。(真ん中に狭い血管が見つかりました) -

同じ患者様のカテーテル検査の写真です。(CTと同じ所に狭い部分があります) -

狭くなっている部分にステントと呼ばれる金属の筒を入れて血管の流れが良くなりました。
Check Point
対象となる方
該当される方は、一度当院の循環器内科まで
お気軽にご相談ください。
- 時どき、胸痛がある
- 喫煙されている方
- 糖尿病、高脂血症、高血圧の方(もしくは血縁者に罹患されたことがある方)
- 肥満や痛風の方
- 血縁者に狭心症や心筋梗塞の方がおられる方
- 心臓カテーテル検査を進められているが入院する時間がないという方
- 40歳以上の方、仕事でストレスのたまっている方
心臓CT検査の流れ
- 来院・受付・
循環器内科受診 - 着替え等の準備
- 生理食塩水で点滴します
- CT室にご案内します
- CT撮影時の説明と
練習をします - 本番の撮影です
- 検査終了。会計・帰宅
結果は次回説明いたします - 水分補給。制限のない方は
少し多めに摂取ください
心臓CTで心筋梗塞を
予防しましょう
狭心症や心筋梗塞などの死亡率は年々増加しており、心臓病は日本人の死因第2位となっています。
心臓CT検査は狭心症や心筋梗塞などの早期診断に非常に有用であり、当院CT室にて心臓CT検査を受けていただくことをおすすめします。